Wisdom Teeth Development
Wisdom teeth are uniquely troublesome because they are the most frequent teeth to be partially or fully impacted (fail to erupt completely) with only 16% erupting normally. 1 This makes them extremely prone to trapping food and holding bacteria around their crown and root surfaces beneath the gum line. As a result, wisdom teeth are – by far – the single most likely teeth to have pathology associated with them and require repeated, expensive interventional treatment later in life at a rate of nearly 99%. 2, 3, 4, 5, 6, 7, 8, 9, 10, 11, 12 . The panographs below depict many of the problems commonly associated with wisdom teeth in adults.

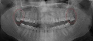
This 34 year old patient has all four third molars present (circled) and fully erupted into occlusion. They appear disease free…but are difficult to keep clean. 3rd molars are the most likely teeth to decay or have gum disease with a >98% probability that decay and gum disease will occur around all four teeth over this patient’s life time.

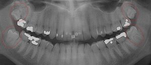
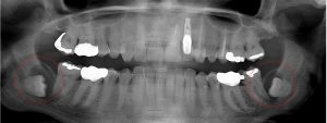
This 19 year old patient has all four 3rd molars present (circled). Only the upper left 3rd molar has fully erupted. The lower left 3rd molar is partially exposed and decaying while the lower right soft tissue impacted, both requiring extraction. Note the double crown on the upper right third molar.

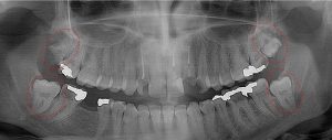
This 19 year old patient has all four 3rd molars present (circled). The roots are +90% formed. Both lower 3rd molars are impacted against the 2nd molars with no chance of further eruption and a +60% probability of decaying before age 30. The patient presented with pain and infection around both lower 3rd molars, requiring immediate extraction

This 48 year old patient had all four 3rd molars extracted in his late 20’s. All four sites healed poorly and chronically infected bony defects remained. The upper right 2nd molar was extracted two years ago as a result of this chronic infection. The upper left 2nd molar must now be extracted because of a chronic periodontal infection moving around that tooth. Both lower molars are chronically infected and have a poor prognosis.

This 52 year old patient had the lower right 3rd molar extracted 6 years earlier due to a chronic infection. The boney defect (arrows) posterior to the 2nd molar (circled) is a site with a chronic gum infection present. Repeated cleaning is necessary to prevent further bone loss around the 2nd molar. Note the other two 3rd molars laying in the bone.
Zero3™ TBA (3rd molar Tooth Bud Ablation) takes advantage of the fact that tooth buds that form wisdom teeth start growing much later than any other tooth bud. Wisdom tooth formation is first detectable in children around age 6. The following x-rays show the progress of the first-detectable wisdom tooth bud as it grows, starts forming initial tooth structure around age 9-12 and then grows into a nearly fully formed tooth after age 14 before erupting. This all occurs before any significant pathology occurs once the tooth becomes fully formed and then tries to erupt through gum tissue into the oral cavity.

This 8 year old patient has 4 permanent 1st “6 year” molars fully erupted (circled). All 4 permanent 2nd molars are deep in the jaw on both arches and are just starting root formation (circled). There are no 3rd molar tooth buds evident below, but natural 3rd molar agenesis that occurs 7% of the time cannot be confirmed until age 14.

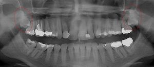
This 21 year old patient has all four 3rd molars present (circled). The roots are approximately 2/3rds formed. The lower right 3rd molar cannot erupt any further; it is distally tipped into the ramus of the mandible. The lower left 3rd molar likely will not erupt any further; it is pushing into the undercut of the distal of the 2nd molar.























