541.527.1800

Wisdom Teeth Pathology

Pathology Associated With Wisdom Teeth

When wisdom teeth (aka “3rd molars”) form we had only two choices before Zero3 TBA (3rd molar Tooth Bud Ablation): either prophylactically extract these teeth in late teens or early 20’s – before roots fully form – or monitor and treat them as pathology develops later in life. These teeth are uniquely troublesome because they are the most frequent teeth to be partially or fully impacted (fail to erupt completely) with only 16% erupting normally. 1   This makes them extremely prone to trapping food and holding bacteria around their crown and root surfaces beneath the gum line. As a result, wisdom teeth are – by far – the single most likely teeth to have pathology associated with them and require repeated, expensive interventional treatment later in life at a rate of nearly 99%. 2, 3, 4, 5, 6, 7, 8, 9, 10, 11, 12

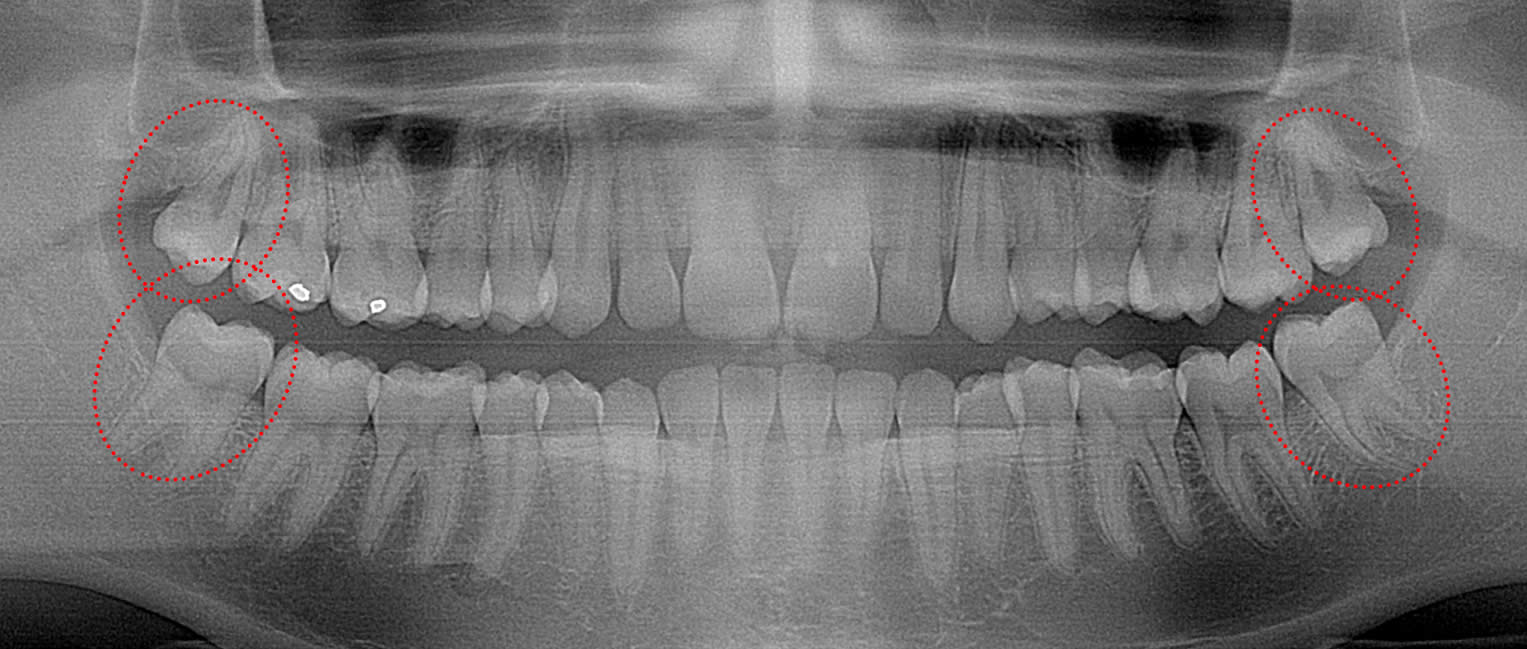
fullu erupted but hard to clean

This 34 year old patient has all four third molars present (circled) and fully erupted into occlusion. They appear disease free…but are difficult to keep clean. 3rd molars are the most likely teeth to decay or have gum disease with a >98% probability that decay and gum disease will occur around all four teeth over this patient’s life time.

Even when 3rd molars do erupt normally, they have the highest rate of decay and highest rate of gum disease of any teeth even though they may appear to be asymptomatic. 13   In young adults in their 20’s with normally erupted 3rd molars, nearly 25% of them can be found to have active periodontal disease between their second and third molars. 14   For this age group, 33% will generally have decay on at least one 3rd molar, while young adults in their 30’s have double the rate of periodontal disease and increased decay rates of 43% for their 3rd molars.15  

To illustrate just how consistent wisdom tooth-related problems are for operations that employ people age 18 to 25 – such as the military – it has been reported that as many as 22% of all non-combat emergency department visits at U.S. military support facilities were related to dental problems, the most common being 3rd-molar related.16   The stated preference by all branches of the military is to have wisdom teeth removed – even if asymptomatic – prior to deployment into remote zones of active military operation.17   All retrospective studies conducted by the military demonstrated predictably high rates of infection leading to 3rd molar pericoronitis, the painful swelling and infection in the gums around wisdom teeth when they fail to fully erupt.18, 19 In battle zones 3rd molar pericoronitis “is fraught with difficulty…and of those that need to travel, 70% were moved by helicopter”.20  

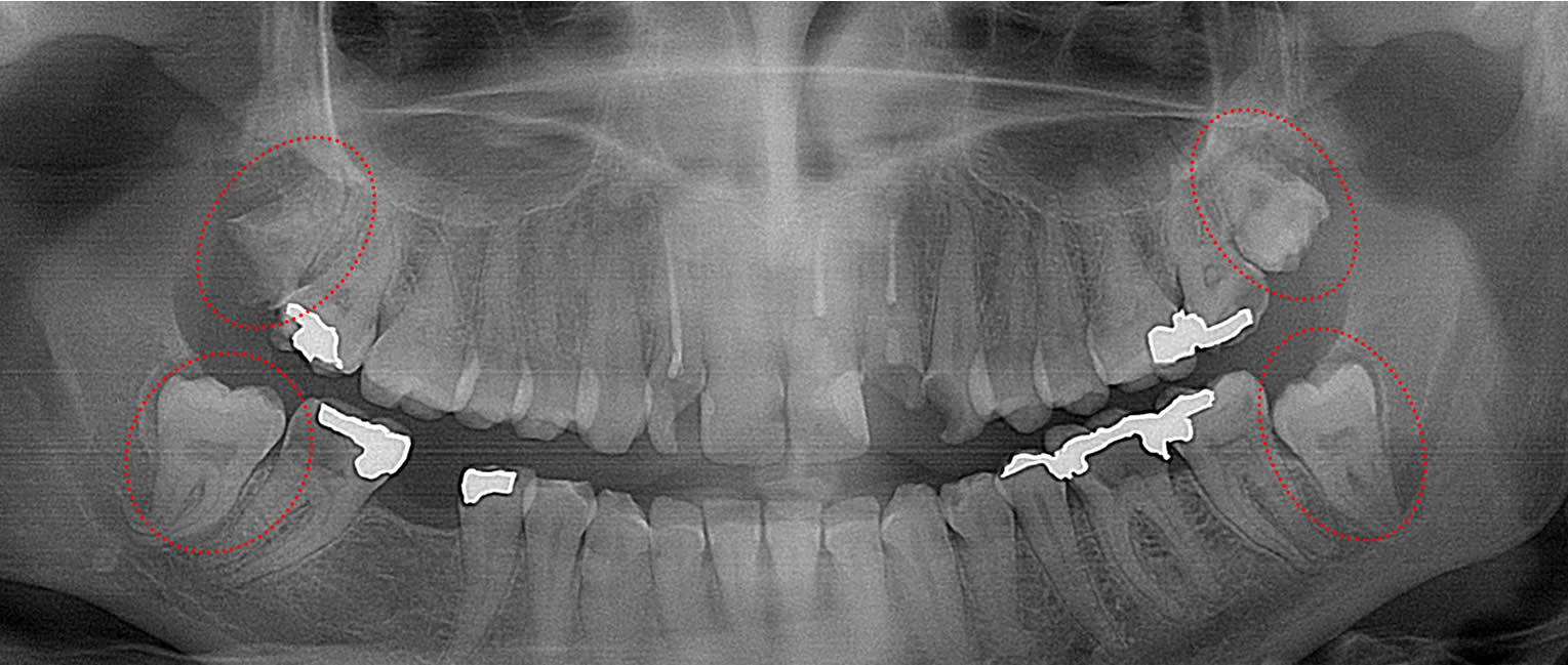
all four molars show signs of decay

This 26 year old patient has all four 3rd molars present (circled). The upper right 3rd molar is badly decayed and the other three are partially erupted with signs of decay forming. Immediate extraction of all four is recommended.

Unfortunately, wisdom teeth retention in an aging population results in dramatically higher rates of pathology than those in the 20’s and 30’s. Nearly 20% of all wisdom teeth are surgically extracted on an emergency basis for age 40 and older as a result of active pathology.21   When a patient is presenting later in life to have one or more 3rd molar extracted due to active pathology then surgery is no longer an elective procedure. As a direct result of the complications associated with older patients, they are far more likely to be categorized as a high-risk patient prior to surgery, require more expensive treatment, and take much longer to recover. Independent studies conclude “The risk to patients and to the profession can be dramatically reduced by considering early removal of abnormal third molars.”22  and “Based on our experience, we propose extraction of third molars during adolescence when the x-ray indicates normal eruption cannot be expected due to lack of space or an abnormal position.”23   It has been repeatedly demonstrated that aging-related risks can be mitigated by prophylactic extraction of wisdom teeth during teen years.24 25  

In an extensive literature search conducted by Marciani it was concluded that less than 2% of middle-aged and older subjects with retained and visible 3rd molars were free of any history of decay or gum disease associated with their 3rd molars, mirroring the findings of numerous prior literature reviews.26  

bilateral mandibular 3rd molars present with cysts

This 55 year old patient has bilateral mandibular 3rd molars with cysts forming around them (circled) that is destroying the bone in her mandible. This patient will likely lose her 2nd molars and suffer mandible fractures if the 3rd molars and cysts are not immediately removed.

This study does not include additional complications associated with retained fully impacted 3rd molars, such as cyst formation and other problems that predictably arise with a rate of nearly 60% when there is a bony expansion of more than 2.5 mm from the crown of the impacted molar.27

Approximately 7% do not form wisdom teeth and have none of the problems described above. The goal of Zero3 TBA is to block wisdom tooth formation from ever starting, which will allow everybody that starts forming wisdom tooth buds to mimic those lucky few that never form these problematic teeth. We expect Zero3 3TBA to be the safest and lowest cost alternative to prophylactic extraction in teens or waiting for problems to emerge later in life after wisdom teeth fully form.

Pro Forma Website

This is a pro forma website based solely upon animal study data. TriAgenics’ Zero3™ 3TBA procedure is not approved for human use.